*Instagram — проект Meta Platforms Inc., деятельность которой в России запрещена
Запись на прием
Оставьте свои контактные данные, и мы перезвоним вам в ближайшее время, чтобы подтвердить запись
Используем cookie-файлы для улучшения работы сайта
OK

Сохраняем ваши зубы и создаем безупречную улыбку под микроскопом с гарантией результата

Запишитесь на консультацию и получите персональный план лечения
Безболезненная анестезия
Индивидуальный подход
Гарантия 1 год
Врач-стоматолог
Евгения Рогова
Приветствую на моем сайте.
Здесь вы узнаете всё о здоровых зубах и красивой улыбке.
Спасаю самые сложные зубы.

Обо мне:
🔹️Евгения Рогова- врач-стоматолог.
🔹️Стаж 13 лет.

📍Лечение зубов, реставрации, перелечивание корневых каналов, эндодонтия под микроскопом

📍Протезирование зубов, виниры, накладки, коронки, протезирование на имплантах

📍Высокоэстетическое протезирование

Промедление с лечением может привести к более серьёзным проблемам и более дорогостоящему лечению в будущем. Например, небольшой кариес может перерасти в пульпит, а затем и в периодонтит. Регулярные осмотры и своевременное лечение помогут избежать серьёзных осложнений
Ответ клиенту:
Можно подождать с лечением
Мы понимаем ваше желание быстро решить проблему. Однако качественное лечение требует времени. Мы составим индивидуальный план лечения, который позволит достичь максимального результата за оптимальный срок
Ответ клиенту:
Не хочу долго лечиться
Лечение под микроскопом позволяет:
  • Увидеть скрытые проблемы
  • Сохранить здоровые ткани
  • Обеспечить точное прилегание материалов
  • Увеличить срок службы лечения
Ответ клиенту:
Микроскоп не нужен, лечили и без него
Понимаем ваше беспокойство о стоимости. Однако важно помнить, что качественное лечение — это инвестиция в ваше здоровье. Дешёвые материалы и непрофессиональное лечение могут привести к дополнительным расходам в будущем из-за необходимости перелечивания. Мы предлагаем различные варианты лечения с разной стоимостью и возможностью рассрочки
Ответ клиенту:
Лечение слишком дорогое
Отвечаем на ваши вопросы
Услуги для получения красивой улыбки
  • Точность и безопасность — Работаем с применением современного микроскопа
  • Комфорт пациента — Применяем современные методики обезболивания
  • Долгосрочный результат — Бережно сохраняем здоровые ткани
Комплексные хирургические услуги
Хирургическая стоматология
(03)
  • Лечение кариеса — современные методы сохранения здоровых зубов
  • Эндодонтическое лечение — профессиональная работа с корневыми каналами
  • Перелечивание зубов — решение проблем с кистами и осложнениями
Комплексное лечение зубов
Терапевтическая стоматология
(02)
  • Коронки и виниры — восстановление эстетики и функциональности зубов
  • Протезирование на имплантах — надежное решение при отсутствии зубов
  • Технологии All-on-4 и All-on-6 — полное восстановление зубного ряда за 1 визит
  • Авторские виниры — индивидуальное эстетическое протезирование для идеальной улыбки
Современное протезирование для вашей улыбки
Ортопедическая стоматология
(01)
Отзывы довольных клиентов
Пожалуйста оставьте заявку и мы запишем вас на прием
Оставить заявку
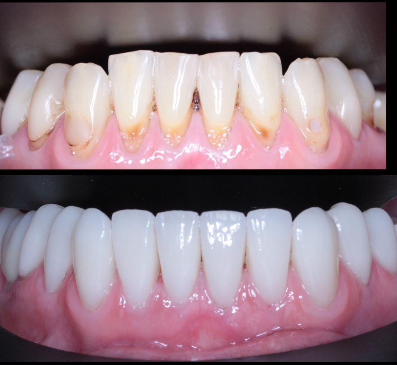
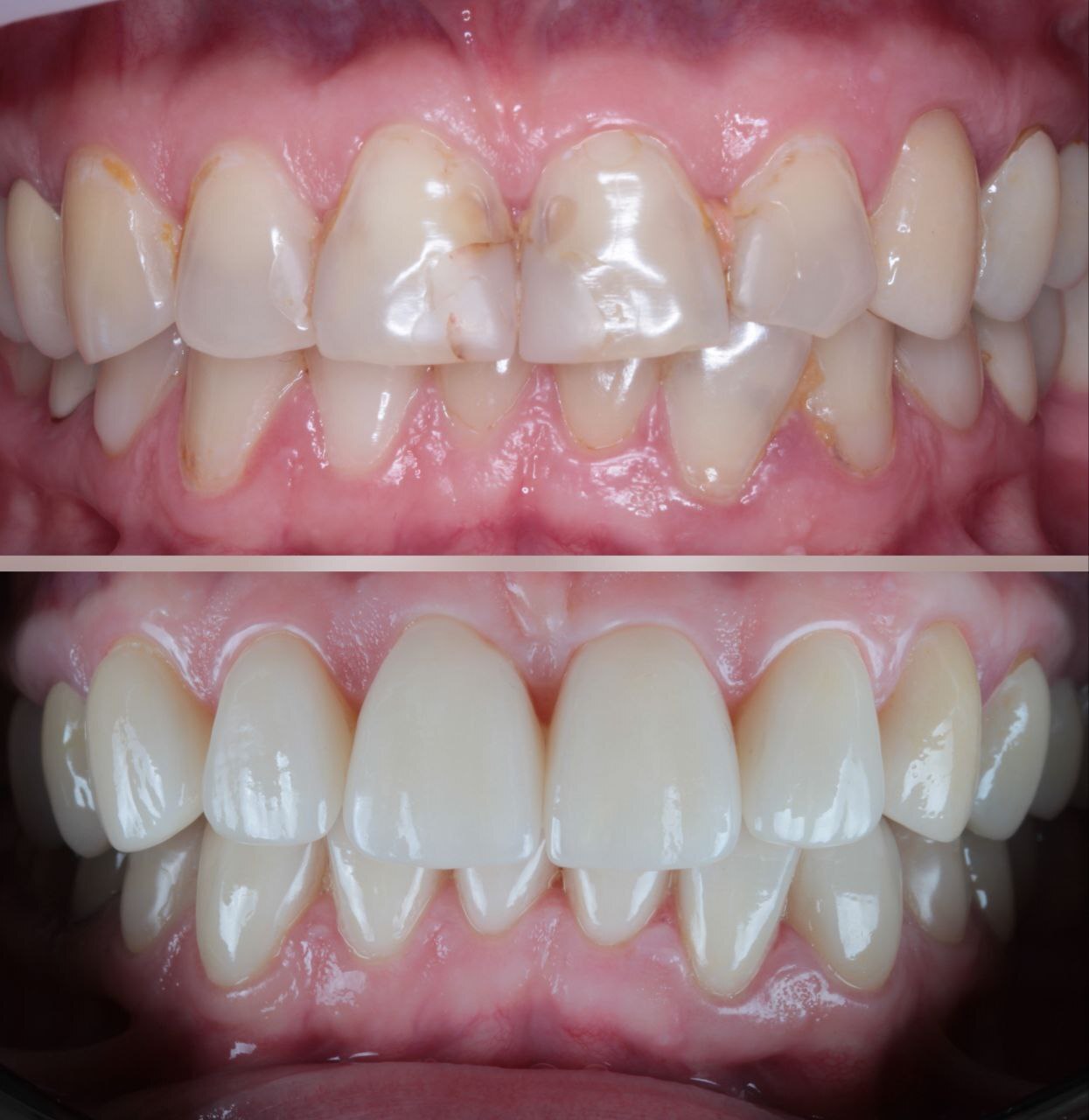
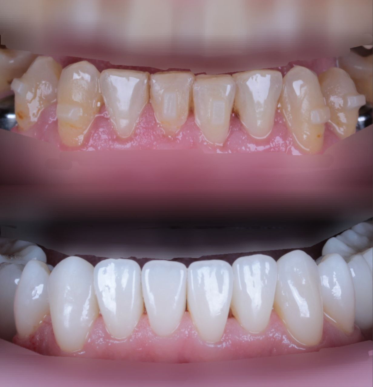
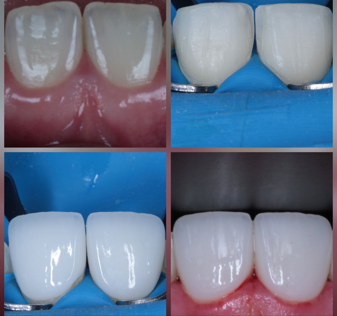
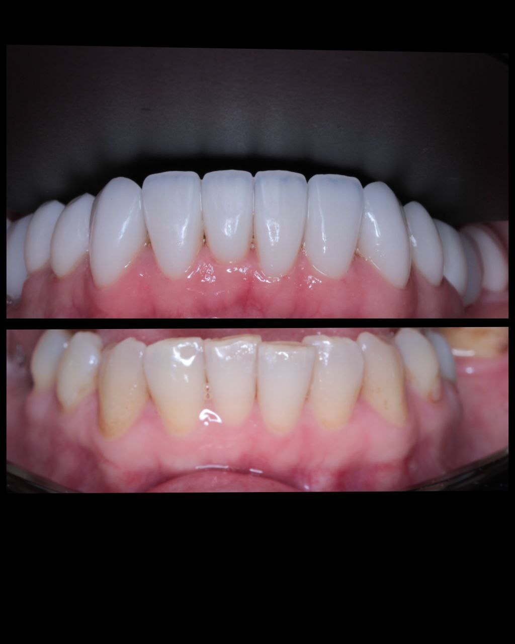
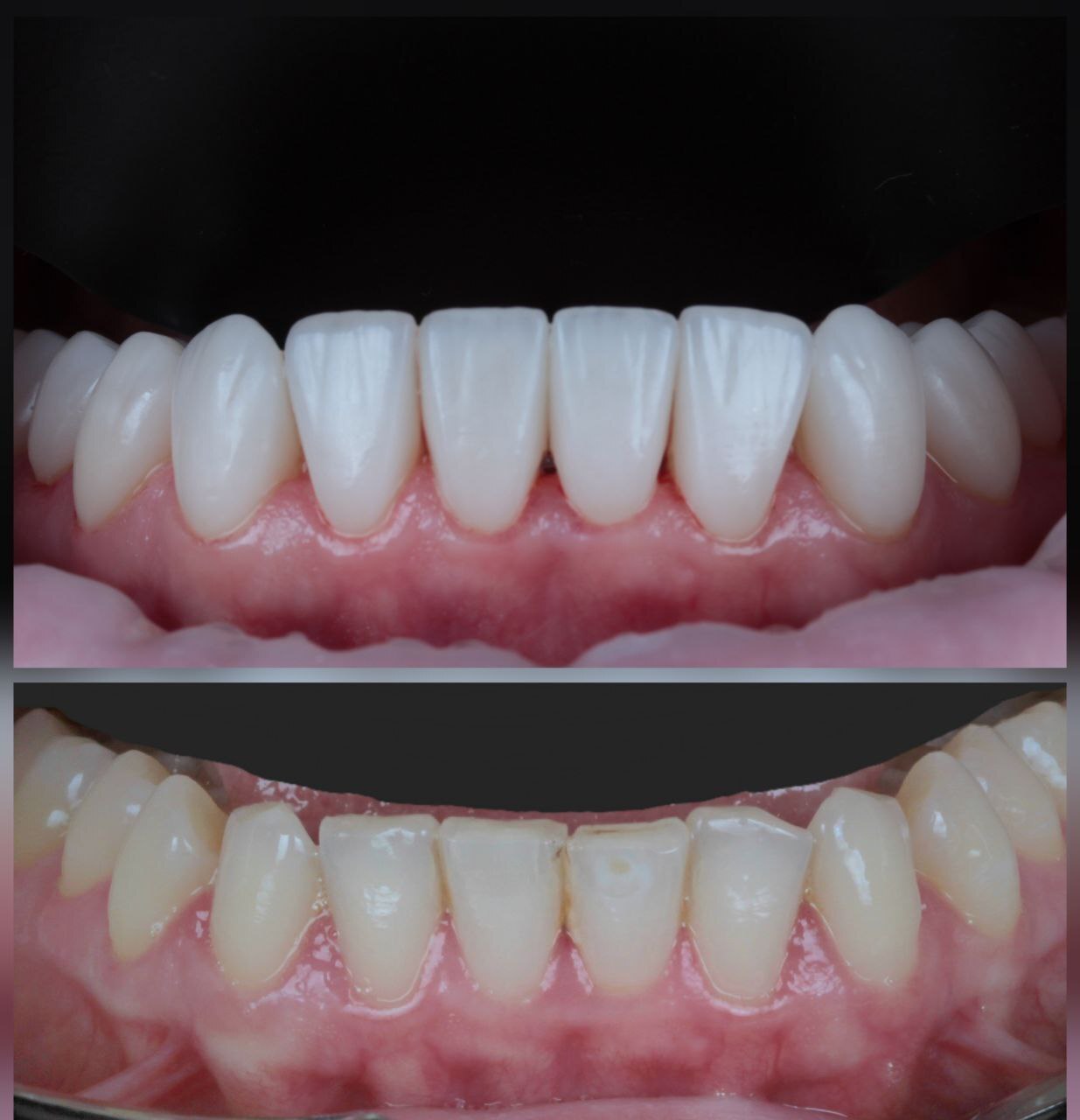
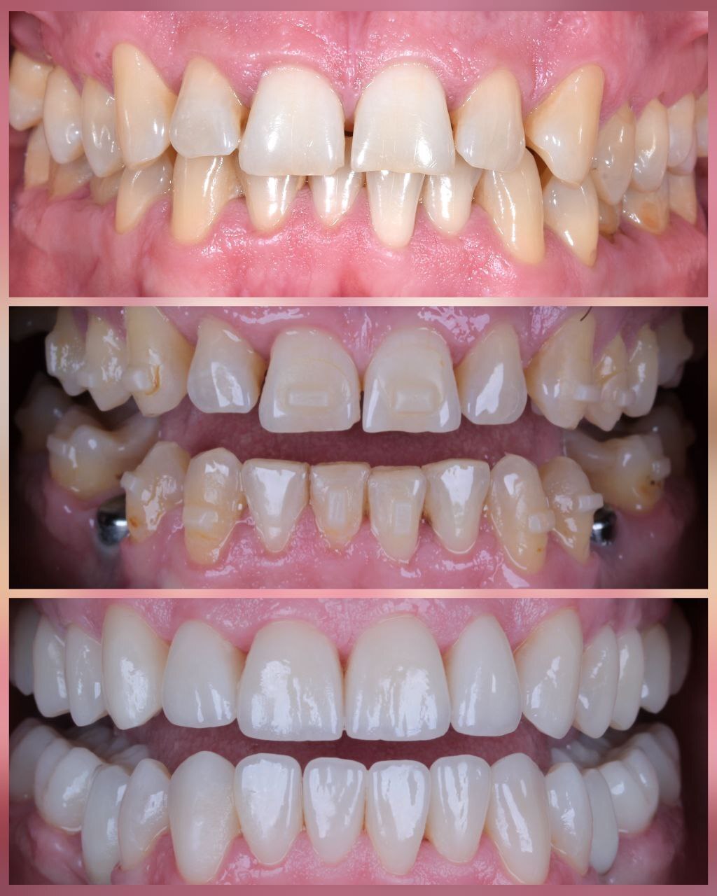
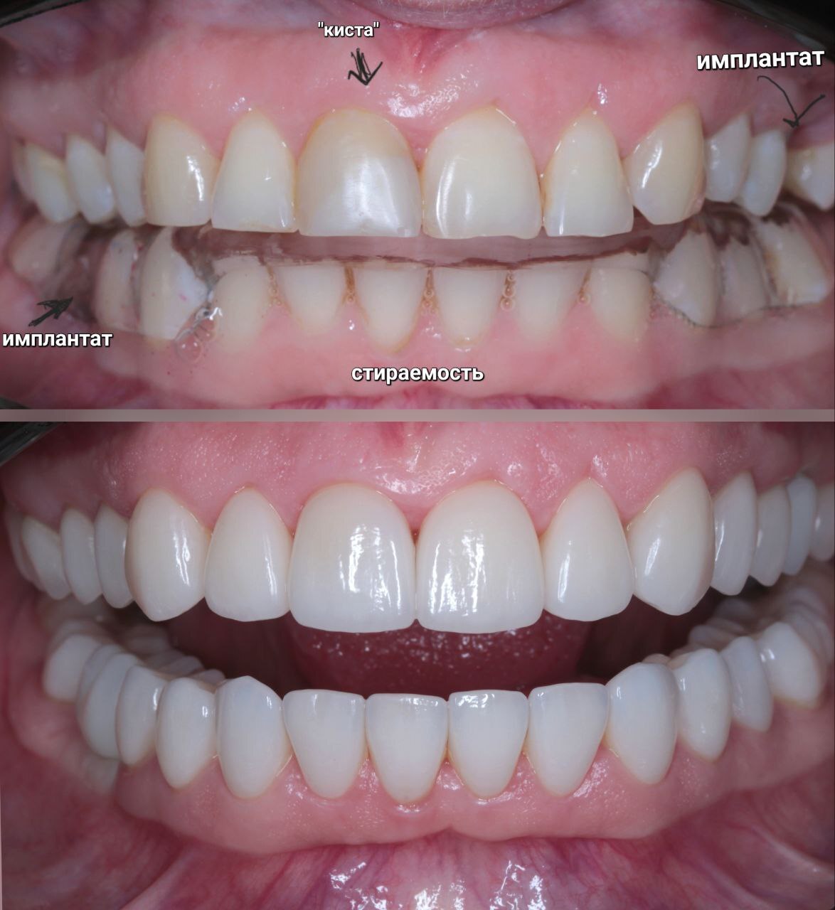
Фото работ до/после
Блог Евгении в телеграм
Made on
Tilda